やっと桜も咲き始めてきましたね。
今回は培養部の担当です。
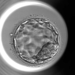
今回は胚盤胞のクレードについてお話ししたいと思います。

上の胚盤胞は4AAというグレードです。
胚盤胞のグレードは数字と二つのアルファベットで表します。まず、数字は胚盤胞の発育の段階を表し、初期の段階が1で発育が進んでいくにつれて数字が大きくなり、6段階あります。二つのアルファベットについては最初にくるものが将来胎児になる細胞、後に来るものが将来胎盤になる細胞を評価するものでA、B、Cの三段階で細胞の多いものをA、少ないものをCというような評価になります。妊娠率としては、C評価のものよりA評価のものの方が高い傾向にあります。

胚盤胞のグレードの数字の部分を気にされて、3AAよりも5AAの方が良いのか?という質問を受けますが、この場合5AAの方が3AAより成長が早いというだけで妊娠率に差はありません。胚盤胞は数時間でどんどん成長が進んでいく為、数字はあまり気にされなくて大丈夫です。やはり重要となってくるのは二つのアルファベットですが、こちらも見た目の評価になりますので、A評価のものでも染色体異常のものが含まれていたり、C評価のものでも力のあるものは妊娠から出産まで至ります。気になってしまうとは思いますが、参考程度に見て頂ければと思います。他にも受精卵について気なることや分からないことがございましたら、培養士相談でお聞きください。